denis23 Опытный 13 Июль 2020 #1 Вопрос какие есть методы облегчения, поддержки для лошади с артритом венечного сустава передних ног. Возраст 15 лет.
Вопрос какие есть методы облегчения, поддержки для лошади с артритом венечного сустава передних ног. Возраст 15 лет.
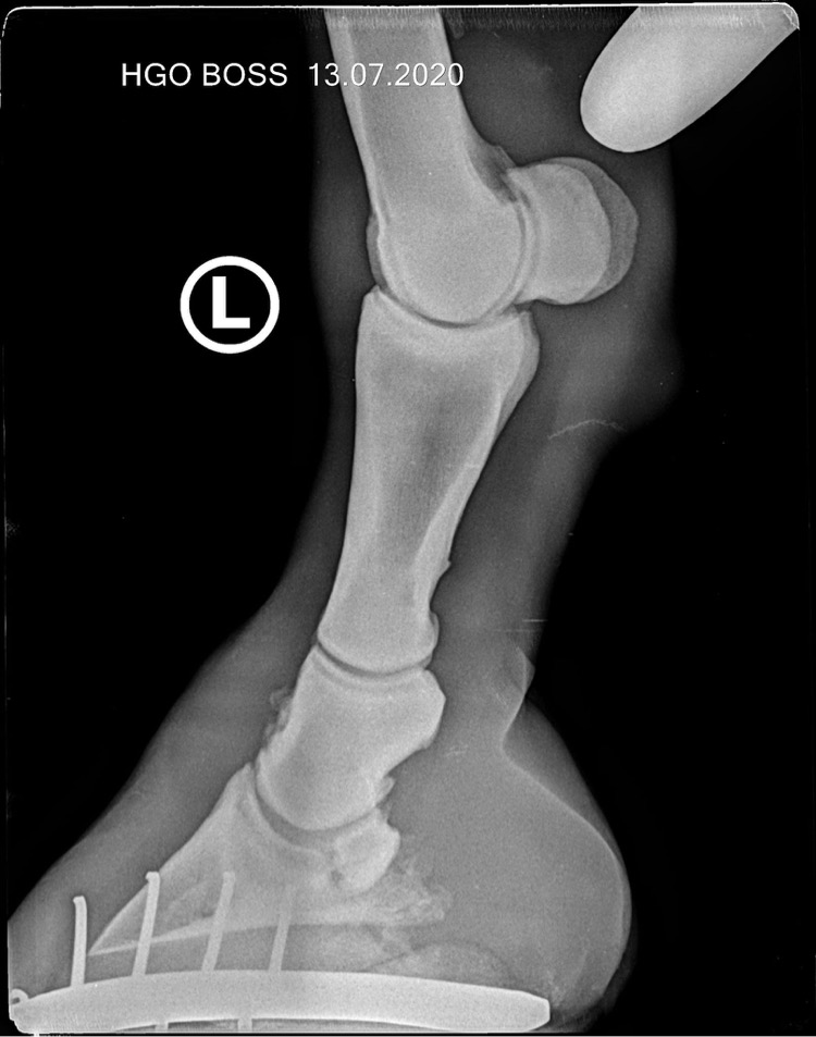
denis23 Опытный 13 Июль 2020 #2 вот рентгены. Вложения 85DB6103-3262-457A-9EC6-C11434451E2D.jpeg 108.6 KB · Просмотры: 196 14D59F73-6819-498E-83C4-FD2539AA5479.jpeg 109 KB · Просмотры: 189