Silence (poriadok)
Новичок
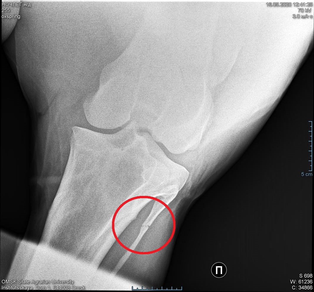
Очень нужна помощь. Конь хромает в течение 4 месяцев на заднюю правую ногу, со временем начал хромать и на левую. Появилась дуга на правой ноге над скакательным суставом. Вся нагрузка приходится на левую ногу, т.к. на правую не опирается, стоит на зацепе, при этом нога подведена под живот и развернута наружу.
Не можем установить причину хромоты. Первое время кололи противовоспалительные препараты, втирали разогревающие мази - улучшений не наблюдается. Делали блокады в скакательный сустав и межкостный мускул.
Провели флекс-тесты - дали положительный результат на колено и скакательный сустав.
Все материалы и биохимия на гугл-диске https://drive.google.com/drive/folders/119ZeSaLpr7jyq_wav-swAlr9ISKOGedD
Есть еще видео узи могу прислать на емайл
Не можем установить причину хромоты. Первое время кололи противовоспалительные препараты, втирали разогревающие мази - улучшений не наблюдается. Делали блокады в скакательный сустав и межкостный мускул.
Провели флекс-тесты - дали положительный результат на колено и скакательный сустав.
Все материалы и биохимия на гугл-диске https://drive.google.com/drive/folders/119ZeSaLpr7jyq_wav-swAlr9ISKOGedD
Есть еще видео узи могу прислать на емайл

