CraDy
Активист
Всем доброго дня!
В связи с непреодолимыми личными обстоятельствами ищу желающих стать финансовым куратором мерина Амура.
О лошади:
Амур – беспородный мерин, предположительно 1996 г.р., который с 2008 по 2016 г. честно работал в городском прокате в Витебске и был наглядным пособием для студентов местной ветакадемии. На протяжении последних двух лет конь наслаждается беззаботной пенсией – гуляет, кушает, общается с другими лошадьми.


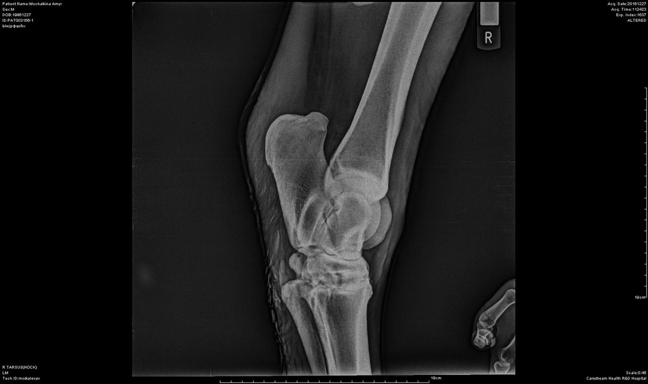
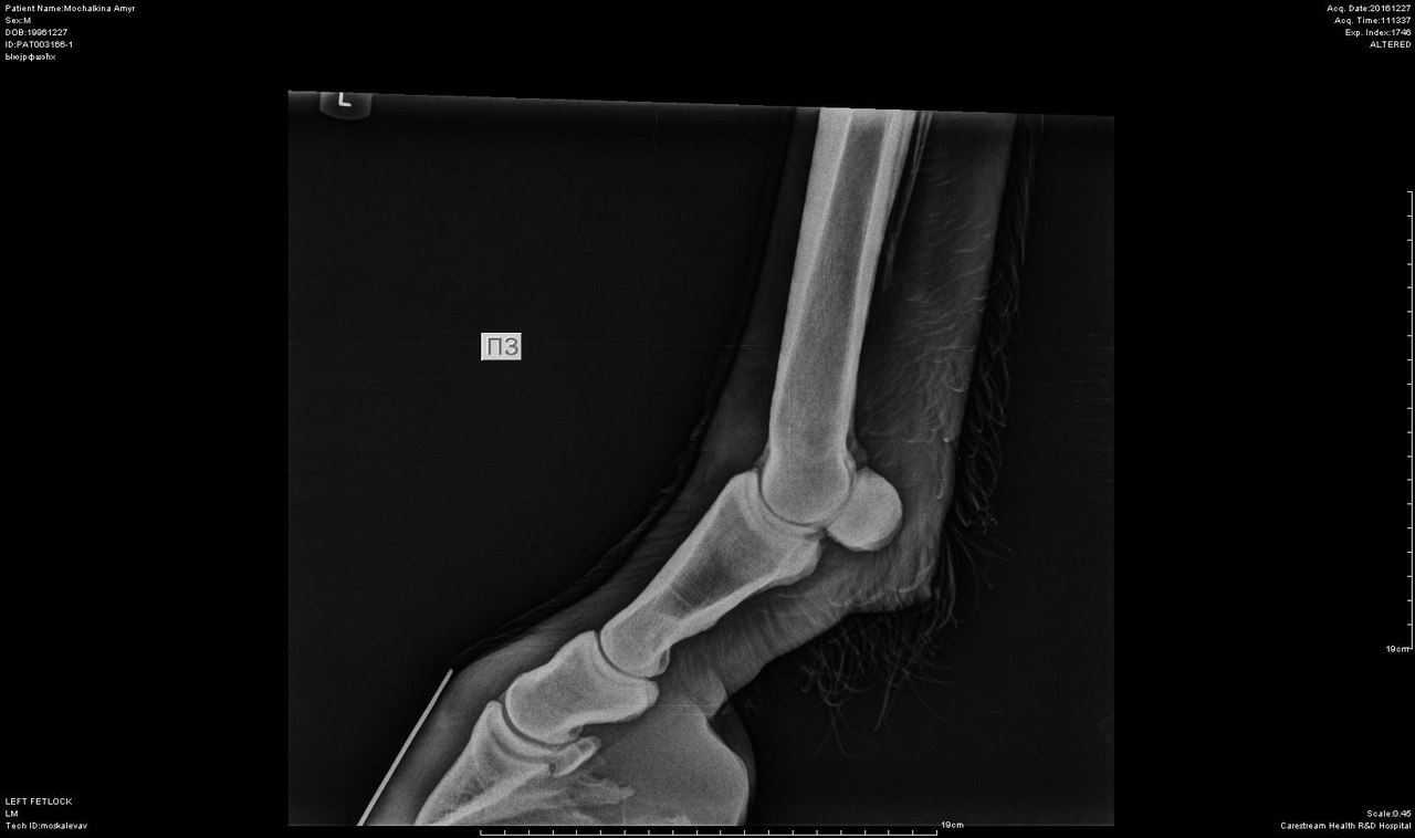
В анамнезе у коня остеоартроз правого скакательного сустава и левого путового на тазовой конечности (диагноз подтвержден рентгенологически в декабре 2016 г.), имеется выраженная хромота, никаких верховых нагрузок Амур не несет и нести не сможет.


Видео походки февраль 2018
К сожалению, на данный момент я не могу полностью обеспечивать содержание лошади, поэтому прошу помощи в оплате постоя.
Амур проживает в замечательной конюшне Грин Ранчо (Минская область, Смолевичский район), условия в которой максимально приближены к тем, которые ему необходимы (наличие длительного выгула в леваде с невязким песчаным грунтом, летом круглосуточный выпас в электропастухе на культурном пастбище, сено вволю, хорошее количество подстилки, адекватные размеры денника и своевременная уборка в нем). Я рассматривала места постоя подешевле, но они имеют определенные недостатки, критические по отношению к проблемам с опорно-двигательным аппаратом, а мне не хотелось бы ухудшать условия жизни лошади, тем более, что опыт неудачного постоя уже был.


Стоимость постоя: 180 $ в месяц, благотворители ищутся на 100$ ежемесячно
Моя страница в ВК - для вопросов и предложений
https://money.yandex.ru/to/410012259202732 - ссылка на Яндекс.Деньги для желающих помочь, в комментарии указывать, что это помощь Амуру
В связи с непреодолимыми личными обстоятельствами ищу желающих стать финансовым куратором мерина Амура.
О лошади:
Амур – беспородный мерин, предположительно 1996 г.р., который с 2008 по 2016 г. честно работал в городском прокате в Витебске и был наглядным пособием для студентов местной ветакадемии. На протяжении последних двух лет конь наслаждается беззаботной пенсией – гуляет, кушает, общается с другими лошадьми.


В анамнезе у коня остеоартроз правого скакательного сустава и левого путового на тазовой конечности (диагноз подтвержден рентгенологически в декабре 2016 г.), имеется выраженная хромота, никаких верховых нагрузок Амур не несет и нести не сможет.


Видео походки февраль 2018
К сожалению, на данный момент я не могу полностью обеспечивать содержание лошади, поэтому прошу помощи в оплате постоя.
Амур проживает в замечательной конюшне Грин Ранчо (Минская область, Смолевичский район), условия в которой максимально приближены к тем, которые ему необходимы (наличие длительного выгула в леваде с невязким песчаным грунтом, летом круглосуточный выпас в электропастухе на культурном пастбище, сено вволю, хорошее количество подстилки, адекватные размеры денника и своевременная уборка в нем). Я рассматривала места постоя подешевле, но они имеют определенные недостатки, критические по отношению к проблемам с опорно-двигательным аппаратом, а мне не хотелось бы ухудшать условия жизни лошади, тем более, что опыт неудачного постоя уже был.


Стоимость постоя: 180 $ в месяц, благотворители ищутся на 100$ ежемесячно
Моя страница в ВК - для вопросов и предложений
https://money.yandex.ru/to/410012259202732 - ссылка на Яндекс.Деньги для желающих помочь, в комментарии указывать, что это помощь Амуру
Последнее редактирование:

