Анастасия Бороненкова
Активист
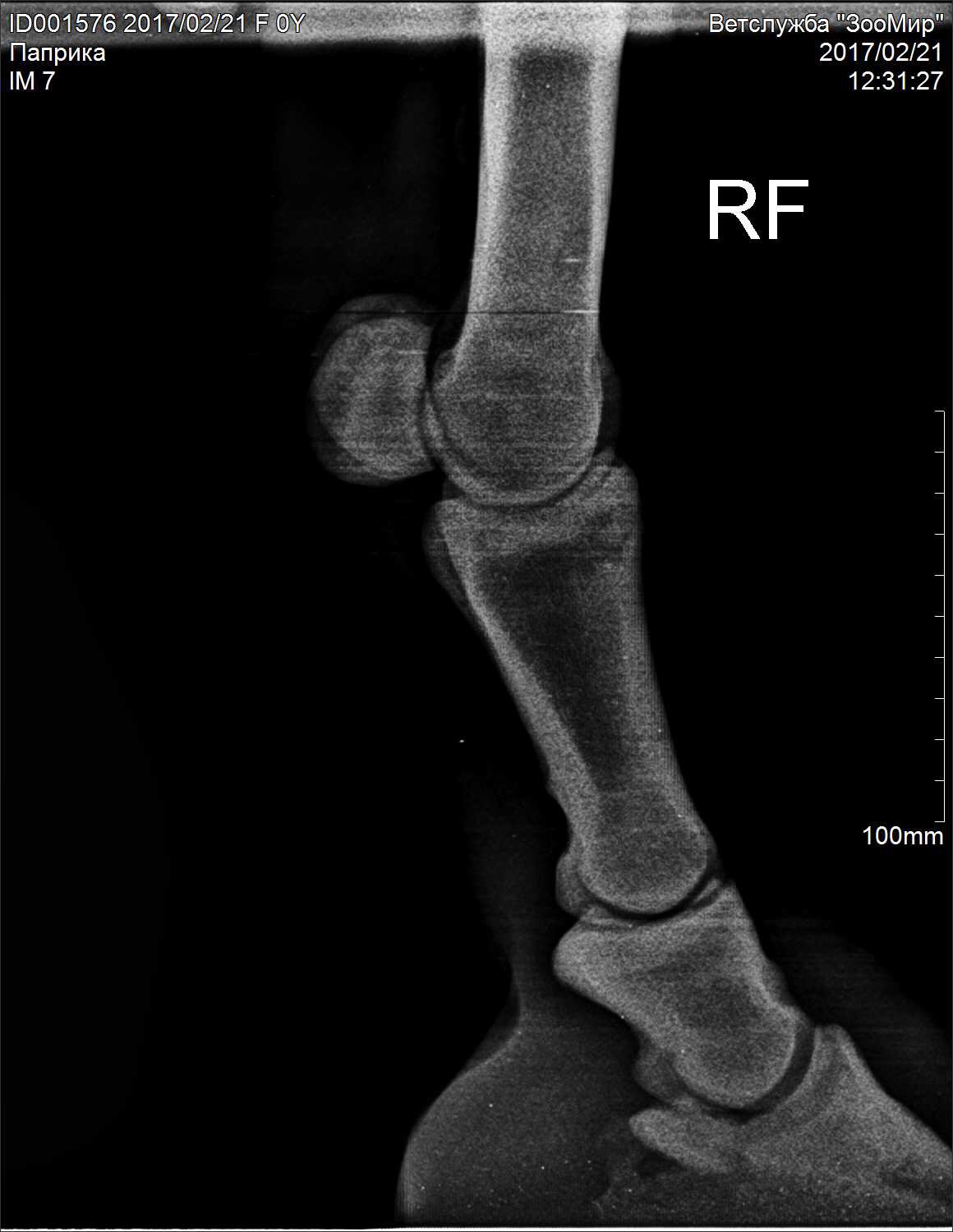
Добрый вечер!!! Помогите пожалуйста разобраться с такой ситуацией: моя лошадь стала хромать на переднюю правую ногу, лошади в мае будет 4 года, заезжена недавно. Работала 2 раза в неделю на корде, один раз верхом. Выгул ежедневный сено вдоволь, овёс пол ковша. Меня это забеспокоило и я вызвала рентген. Врач по снимкам мне сказал, что у нас киста в ПЛ ноге в челночной кости и синдром целующихся позвонков. Из лечения сказал ковать на круглые подковы, 5 фильц, поднимать пятку (лошадь не ковалась). Если подкованная будет хромать, колоть Бонефос. Лошадь молодая и с характером, блокады сделать было невозможно, выдирает ноги. Рентгенили тоже под седацией, но ноги все равно выдирала. Другой врач сказала что у нас перелом мякишного хряща, кисту не наблюдает. Я в панике! ((( Пожалуйста посмотрите снимки, все ли так серьезно?
Вложения
-
IMG_9207.JPG113.6 KB · Просмотры: 1,120 -
IMG_9208.JPG175.8 KB · Просмотры: 1,053 -
IMG_9210.JPG83.4 KB · Просмотры: 1,001 -
IMG_9211.JPG142.9 KB · Просмотры: 1,072 -
IMG_9212.JPG131.4 KB · Просмотры: 944 -
IMG_9213.JPG164.8 KB · Просмотры: 1,108 -
IMG_9214.JPG134.5 KB · Просмотры: 1,020 -
IMG_9215.JPG162.9 KB · Просмотры: 1,000 -
IMG_9216.JPG118.7 KB · Просмотры: 992
Последнее редактирование:

