Marina003
Участник
Добрый вечер.
Хотела бы услышать мнение и может быть советы со стороны.
Лошадь, мерин, 16 лет.
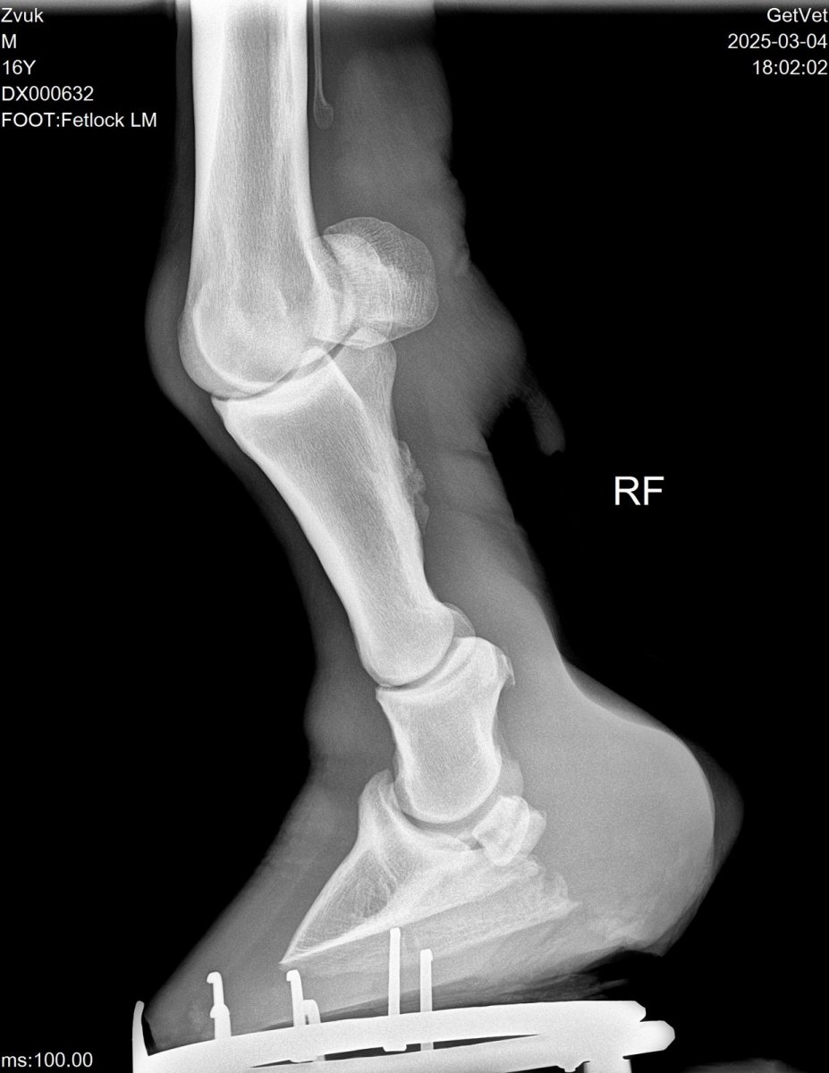
10 лет мучается с артрозом путового сустава передней конечности. Еще в то время ветеринар посоветовал колоть Бонхарен. И все 10 лет каждый год вакцина Бонхарен хорошо помогала, и лошадь на какое то время хромать переставала(обычно год или полтора). Однако последнее время Бонхарен перестал помогать и лошадь захромала вновь. Вызвали другого ветеринара, сделали рентген - контрактура сухожилия передней конечности. Сказали однозначно ложить на стол. Операция стоит около 200к, это не считая коневоза туда и обратно, это мы конечно не потянем. Никакие хондропротекторы не помогут. Сказал можно попробовать что то из ортопедии, однако в нашем городе ковалей нет совсем, а из большого города ради одной лошади ортопедический коваль приезжать не станет. Может быть кто то уже сталкивался с такой проблемой. Может можно поколоть другие вакцины, помощнее, что бы хоть как то облегчить ходьбу лошади?
Слишком остро судить не надо, животное покупалось основываясь на доверии к людям, но к сожалению доверие подорвали, а покупка совершена и животное теперь член семьи которого очень любят.
Хотела бы услышать мнение и может быть советы со стороны.
Лошадь, мерин, 16 лет.
10 лет мучается с артрозом путового сустава передней конечности. Еще в то время ветеринар посоветовал колоть Бонхарен. И все 10 лет каждый год вакцина Бонхарен хорошо помогала, и лошадь на какое то время хромать переставала(обычно год или полтора). Однако последнее время Бонхарен перестал помогать и лошадь захромала вновь. Вызвали другого ветеринара, сделали рентген - контрактура сухожилия передней конечности. Сказали однозначно ложить на стол. Операция стоит около 200к, это не считая коневоза туда и обратно, это мы конечно не потянем. Никакие хондропротекторы не помогут. Сказал можно попробовать что то из ортопедии, однако в нашем городе ковалей нет совсем, а из большого города ради одной лошади ортопедический коваль приезжать не станет. Может быть кто то уже сталкивался с такой проблемой. Может можно поколоть другие вакцины, помощнее, что бы хоть как то облегчить ходьбу лошади?
Слишком остро судить не надо, животное покупалось основываясь на доверии к людям, но к сожалению доверие подорвали, а покупка совершена и животное теперь член семьи которого очень любят.
Вложения
Последнее редактирование:

