Nibrodi
Участник
Добрый день, коллеги!
прошу оценить рентген снимки и помочь советом что лучше дальше делать.
История такова.
В детстве еще жеребенком была получена травма от удара копытом матери на правую ногу.
Я так понимаю был небольшой перелом. Конь рос, не жаловался, нес легкие нагрузки верховые. Не прыгал. На тот момент я его арендовала у хозяйки.
Далее лошадь пропала из моей жизни на два года. И что с ним было за это время к сожалению не знаю(
Сейчас я нашла эту лошадь и хочу выкупить. Прошлым хозяином были сделаны снимки.
Сейчас лошадь подкована на фильцы и на мой взгляд из за этого стала хромать ещё сильнее. Хотя ветеринар советовал ковку, но коваль по слухам, наоборот отговаривал)
Прошу посмотреть снимки и посоветовать что делать с ногой дальше, как тренировать?
Прикладываю выписку вета Ветеринарное заключение от 24.08.21.
Бла бла бла…состояние лошади следующее: конституция и упитанность хорошие, при аускультации дыхание нежное везикулярное, сердечно - сосудистая система в норме; кожных ссадин и потертостей не выявлено.
Правое переднее копыто плоское с заломами, левое копыто - правильное, с заломами.
При осмотре были выявлены следующие патологии : осмотр на движении по прямой - хромота на правую грудную конечность ; проведён тест на сгибание (путовый сустав) - хромота усилилась ++++.
Реакция на пробные щипцы отрицательная.
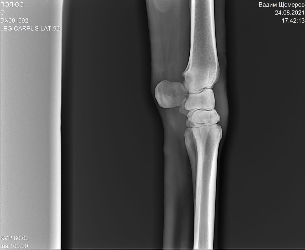
На рентгеновских снимках выявлено:
1) остеохондроз и чип в области путового сустава правой грудной конечности.
2) Старый перелом и изменение конфигурации края челночной кости с переостальной реакцией этого края.
Рекомедации:
1) Расчистить и подковать на пяточные фильцы (уголки).
2) Соблюдать интервал между ковками 30 дней.
3) Провести дополнительную диагностику с помощью блокады пальцевых нервов путового сустава и челночного блока правой грудной конечности.
прошу оценить рентген снимки и помочь советом что лучше дальше делать.
История такова.
В детстве еще жеребенком была получена травма от удара копытом матери на правую ногу.
Я так понимаю был небольшой перелом. Конь рос, не жаловался, нес легкие нагрузки верховые. Не прыгал. На тот момент я его арендовала у хозяйки.
Далее лошадь пропала из моей жизни на два года. И что с ним было за это время к сожалению не знаю(
Сейчас я нашла эту лошадь и хочу выкупить. Прошлым хозяином были сделаны снимки.
Сейчас лошадь подкована на фильцы и на мой взгляд из за этого стала хромать ещё сильнее. Хотя ветеринар советовал ковку, но коваль по слухам, наоборот отговаривал)
Прошу посмотреть снимки и посоветовать что делать с ногой дальше, как тренировать?
Прикладываю выписку вета Ветеринарное заключение от 24.08.21.
Бла бла бла…состояние лошади следующее: конституция и упитанность хорошие, при аускультации дыхание нежное везикулярное, сердечно - сосудистая система в норме; кожных ссадин и потертостей не выявлено.
Правое переднее копыто плоское с заломами, левое копыто - правильное, с заломами.
При осмотре были выявлены следующие патологии : осмотр на движении по прямой - хромота на правую грудную конечность ; проведён тест на сгибание (путовый сустав) - хромота усилилась ++++.
Реакция на пробные щипцы отрицательная.
На рентгеновских снимках выявлено:
1) остеохондроз и чип в области путового сустава правой грудной конечности.
2) Старый перелом и изменение конфигурации края челночной кости с переостальной реакцией этого края.
Рекомедации:
1) Расчистить и подковать на пяточные фильцы (уголки).
2) Соблюдать интервал между ковками 30 дней.
3) Провести дополнительную диагностику с помощью блокады пальцевых нервов путового сустава и челночного блока правой грудной конечности.
Вложения
-
949378B1-3BED-4E9D-9516-691EC562E6F9.jpeg62 KB · Просмотры: 1,722 -
4A6BFCF7-7360-4860-A083-8FE063F9CA54.jpeg77.4 KB · Просмотры: 520 -
E774FF9A-70F4-45D1-95B7-19EAD27B0395.jpeg77.2 KB · Просмотры: 674 -
2499F26D-9DA4-4113-B6C2-2F9160578521.jpeg56.4 KB · Просмотры: 494 -
134DF3AD-4070-47B4-BF82-50A8E02CED12.jpeg58.6 KB · Просмотры: 713 -
39D67F13-7FD9-4C9E-8E4F-FF7D3EEE90B7.jpeg43.6 KB · Просмотры: 519 -
5D75260E-8D2E-40E0-B2ED-38828269A116.jpeg58.1 KB · Просмотры: 543

