Перелом. Делитесь опытом

Melodia59

Участник
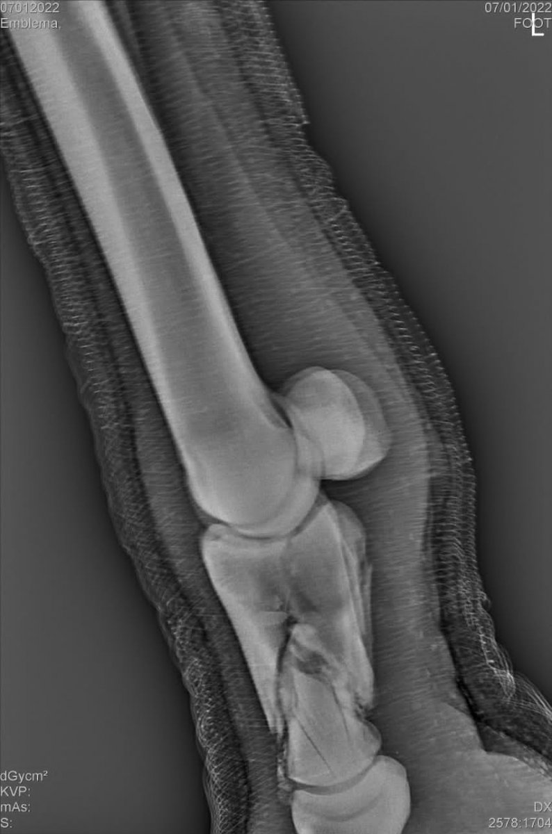
Кобыла два дня назад получила перелом при работе на корде. Кобыле 21 год. Кто с таким сталкивался? Возможно ли восстановить лошадь в качестве газонокосилки? На данный момент кобыла в гипсе, температура в норме, аппетит хороший, делаем массаж здоровых конечностей.
 

Вложения

  • IMG-20220107-WA0001.jpg
    IMG-20220107-WA0001.jpg
    98.1 KB · Просмотры: 312
  • IMG-20220107-WA0000.jpg
    IMG-20220107-WA0000.jpg
    135.6 KB · Просмотры: 265
Был похожий случай, конечка в 20 лет, ударила кобыла с которой гулял, по рентгену был перелом, без смещения, гипс не ставили, ставили эластичную повязку Роберта Джонса (если не ошибаюсь так она называется) каждый день перевязки, обработки, уколы, подкормки, препараты были по назначению врача, стоял привязанный чуть меньше года, первые пол года был только в деннике выводить было нельзя, далее по рентгенам смотрели, и спустя пол года разрешили шаг начиная с 1 мин, в итоге конь поправился, даже вернулся в хобби нагрузку под седло, без хромоты, после перелома ещё 2 года бегал под седлом, щас уже конкретная пенсия по решению владельцев, не связаная с его здоровьем а скорее с годами, нас вела вет врач Юлия Останина. Но все конечно зависит от лошади, нам конечно повезло, чего и Вам желаю
 
Кобыла два дня назад получила перелом при работе на корде. Кобыле 21 год. Кто с таким сталкивался? Возможно ли восстановить лошадь в качестве газонокосилки? На данный момент кобыла в гипсе, температура в норме, аппетит хороший, делаем массаж здоровых конечностей.
Есть пробежница Татьяна Погодина, у ее кобылы перелом был несколько месяцев назад. Обратитесь к ней, мб подскажет чего. https://vk.com/id44380870
По моему опыту, к сожалению, ни к чему хорошему лечение не приводит, только к длительным страданиям лошади и владельца.
Мб у кого-то другой опыт, но у меня такой. ?‍♀️?
 
Как нынешняя хозяйка Турина, скажу, что конь вполне себе счастливо живет в качестве любимца в компании лошадей, с удовольствием гуляет на приличной территории, иногда даже скачет). Нога, конечно, выглядит не очень, да и хромота сильная, но в целом жить не мешает. Но, насколько я знаю, лечение заняло больше полугода только до того, когда начали потихоньку шагать по конюшне, потом по улице в руках.
 
Как нынешняя хозяйка Турина, скажу, что конь вполне себе счастливо живет в качестве любимца в компании лошадей, с удовольствием гуляет на приличной территории, иногда даже скачет). Нога, конечно, выглядит не очень, да и хромота сильная, но в целом жить не мешает. Но, насколько я знаю, лечение заняло больше полугода только до того, когда начали потихоньку шагать по конюшне, потом по улице в руках.
а как он реагирует на межсезонье/смену погоды? не начинает хромать сильнее?
 
а как он реагирует на межсезонье/смену погоды? не начинает хромать сильнее?
В основном реагирует на грунт, вернее безгрунтицу, на слякоть или на замерзшую и вставшую колом грязь. Чтобы при прочих равных реагировал именно на погоду, не замечала. Пока обходимся Дъявольским когтем в межсезонье в кач-ве обезболивающего-противовоспалительного.
 
В основном реагирует на грунт, вернее безгрунтицу, на слякоть или на замерзшую и вставшую колом грязь. Чтобы при прочих равных реагировал именно на погоду, не замечала. Пока обходимся Дъявольским когтем в межсезонье в кач-ве обезболивающего-противовоспалительного.
ну и хорошо, удачи вам) а то страничка сос давно не обновляется
 
Двух лошадей знаю лично, восстановились после переломов, одна до газонокосилки, второй даже до лёгкой работы под всадником.
А @anutka_milashka спортивный конь сломал ногу несколько лет назад, восстановился, хотя и не до спорта, живёт на пенсии.
Важны детали, конечно. Место и характер перелома, возможность иммобилизации, сможет ли лошадь вставать и ложиться с гипсом (это важно), чтобы не перегружать другие ноги/не залеживаться и т.д.
 
Расскажу свою историю. Спортивный конь 15 лет, сломал ногу на тренировке, практически просто подвернул ее каким-то неудачным образом(
Один врач предлагал усыпить, говорил, что шансов на восстановление почти нет, другие врачи предлагали делать операцию.. На операцию средств не было, усыпить я не решилась, в итоге просто поставили гипс.

Вот такой был перелом и как он сросся через 6 месяцев


Полгода простоял в гипсе, меняли гипс через три месяца, потом ещё два месяца и один месяц в утягивающей повязке. Перелом был в июле, первый раз конь вышел из денника в декабре. Тяжелые были полгода, ему было тяжело самостоятельно вставать с гипсом, рекомендую положить резиновый пол в денник, чтобы ноги не скользили. Плюс он бился головой об поилку, перевесили ее в дальний угол денника. Очень сильно похудел, но в этот период много кормить нельзя, потому что лишний вес даёт нагрузку на здоровые ноги. Ел сено и гранулы без овса либо мэш. Обязательно кальций давать.
Вторая задняя нога сильно компенсировала поломанную, расчищать не могли толком, и там образовался небольшой ламинит в итоге. Перелом полностью сросся, но кость просела немного, поэтому ходит он не очень ровно. В остальном больше проблема со второй ногой, приходится делать ковку на зада, иначе сразу начинает хромать сильно.
После снятия гипса восстановился довольно быстро, месяца через три уже спокойно ходил сам

Летом на выгуле он хорошо выглядит, зимой, конечно, похуже держит тело, приходится докармливать мэшем и гранулами




Живет на пенсии, ест, гуляет. Покрыл двух кобыл спокойно сам в прошлом сезоне)
 
Расскажите, кто чем кормил коней при переломах? У моего он в таком месте, что ничего особо не сделать, только ждать пока сам срастется. Хочется помочь процессу. Что можно подавать кроме кальция? Кто чем поддерживал организм при заживлении/реабилитации?
 
Кобыла два дня назад получила перелом при работе на корде. Кобыле 21 год. Кто с таким сталкивался? Возможно ли восстановить лошадь в качестве газонокосилки? На данный момент кобыла в гипсе, температура в норме, аппетит хороший, делаем массаж здоровых конечностей.
Да, возможно.
Гипс минимум 2 месяца, дальше по обстоятельствам.
Расскажите, кто чем кормил коней при переломах? У моего он в таком месте, что ничего особо не сделать, только ждать пока сам срастется. Хочется помочь процессу. Что можно подавать кроме кальция? Кто чем поддерживал организм при заживлении/реабилитации?
Только сено и чуть чуть распаренной втм (мы давали, чтобы не орала, что других кормят), и мел/кальформин/аналоги.
***
Наша- почти 2.5 месяца в гипсе, птом почти месяц в давящей повязке, потом месяц каждый день по капельке начинали шагать.
Газонокосилка, в лайт-работе спустя год- чуть чуть корда, шаг в руках по прямым, несколько раз в год седлаем))) под очень лёгкого всадника
 
Сверху