Anna-Gretta
Участник
Помогите пожалуйста
Уже 2 месяца у кобылы шишка на носу
Месяц мазали мазями (ихтиол, траумель, левомецитин), всё ждали врача, думала накостник.
Шишка очень твердея. Как накостник.
Через месяц она начала расти и кобыла стало хуже сено проедать и нам врач прописал Пенбекс, шишка уменьшилась до начальных размеров.
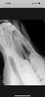
Далее сделали рентген (прилагаю его), врач заподозрил может киста, во рту ничего не нашли (думали на зуб), корни зубов хорошие, десна все тоже.
Прописал сультеприм. Ощущение, что шишка снова растет.
Я уже не знаю куда бежать и что делать.
Уже 2 месяца у кобылы шишка на носу
Месяц мазали мазями (ихтиол, траумель, левомецитин), всё ждали врача, думала накостник.
Шишка очень твердея. Как накостник.
Через месяц она начала расти и кобыла стало хуже сено проедать и нам врач прописал Пенбекс, шишка уменьшилась до начальных размеров.
Далее сделали рентген (прилагаю его), врач заподозрил может киста, во рту ничего не нашли (думали на зуб), корни зубов хорошие, десна все тоже.
Прописал сультеприм. Ощущение, что шишка снова растет.
Я уже не знаю куда бежать и что делать.

