Olmek
Pro
Ламинитчикам подошву вообще трогать нельзя. Ибо там каждый миллиметр имеет критическое значение. Она у них даже "на ощупь" другая, чем у обычных коней. Убирать только то, что начинает само выкрашиваться, оно от пяток постепенно идет к зацепу, по мере выздоровления. Иногда обычная подошва остается только в районе заворотных углов.Имхо, у лошади тонкая чувствительная подошва. Не знаю как в жизни срезают ее при расчистке или нет. Если ее срезают, я бы попросила совсем не срезать по этой причине.
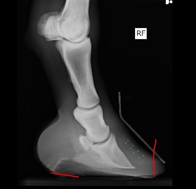
Nutona, вот нарисовала как бы я убирала зацеп.
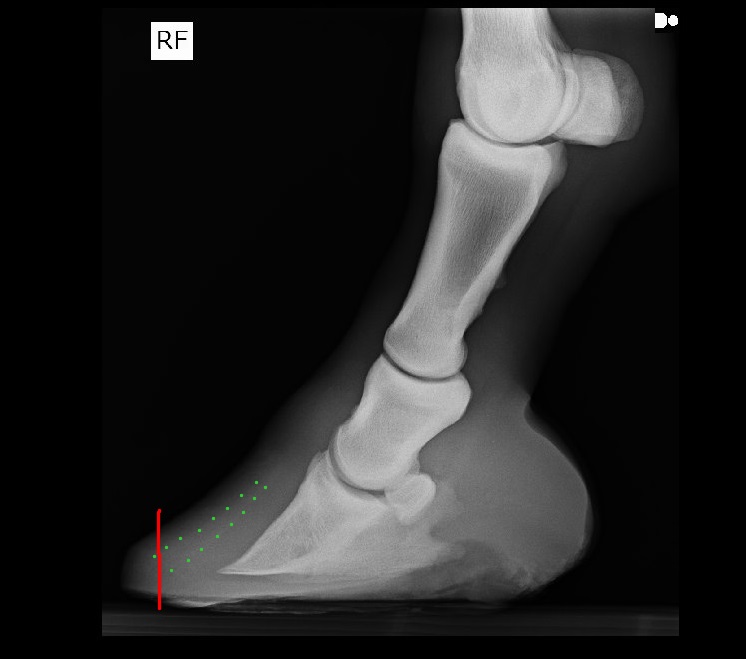
(зелеными точками обозначила "контур" клина, видно плохо на данных снимках, хорошо бы в программе настройками поиграть, может, станет заметнее)
Так сколько времени прошло между расчисткой и рентгеном?
Зачем убирать зацеп: если представить, что лошадь ходит не по абсолютно ровному твердому грунту, то можно представить, что при опускании копыта в грунт отсутствие верного переката создает "оттягивающее" давление на зацеп, в котором и так уже нарушено соединение. И это даже когда она просто стоит, а когда начинается движение - давление на зацеп будет еще больше при "перекатывании".
Ну и еще ремарка. Если не соблюдать показанный ламинитчикам режим жизни и питания, какого бы прекрасного талантливого коваля ни пригласили - особенных улучшений не будет. К сожалению.

