Perigrinatio est vita … Итоги года, говорите…

Блин,у нас ещё кобыла 28 лет ногу сломала.В деннике,ночью.
У меня отличные коневладельцы,скинулись,кто чем мог,надеюсь,бабуля справится.
 
Последнее редактирование:
Лен,она в целом бодра,лежит часика по полтора-два,потом долго стоит.
Сама встаёт,ложиться на здоровую ногу.
Здесь плюс,что веса избыточного у неё нет.Аппетит хороший.
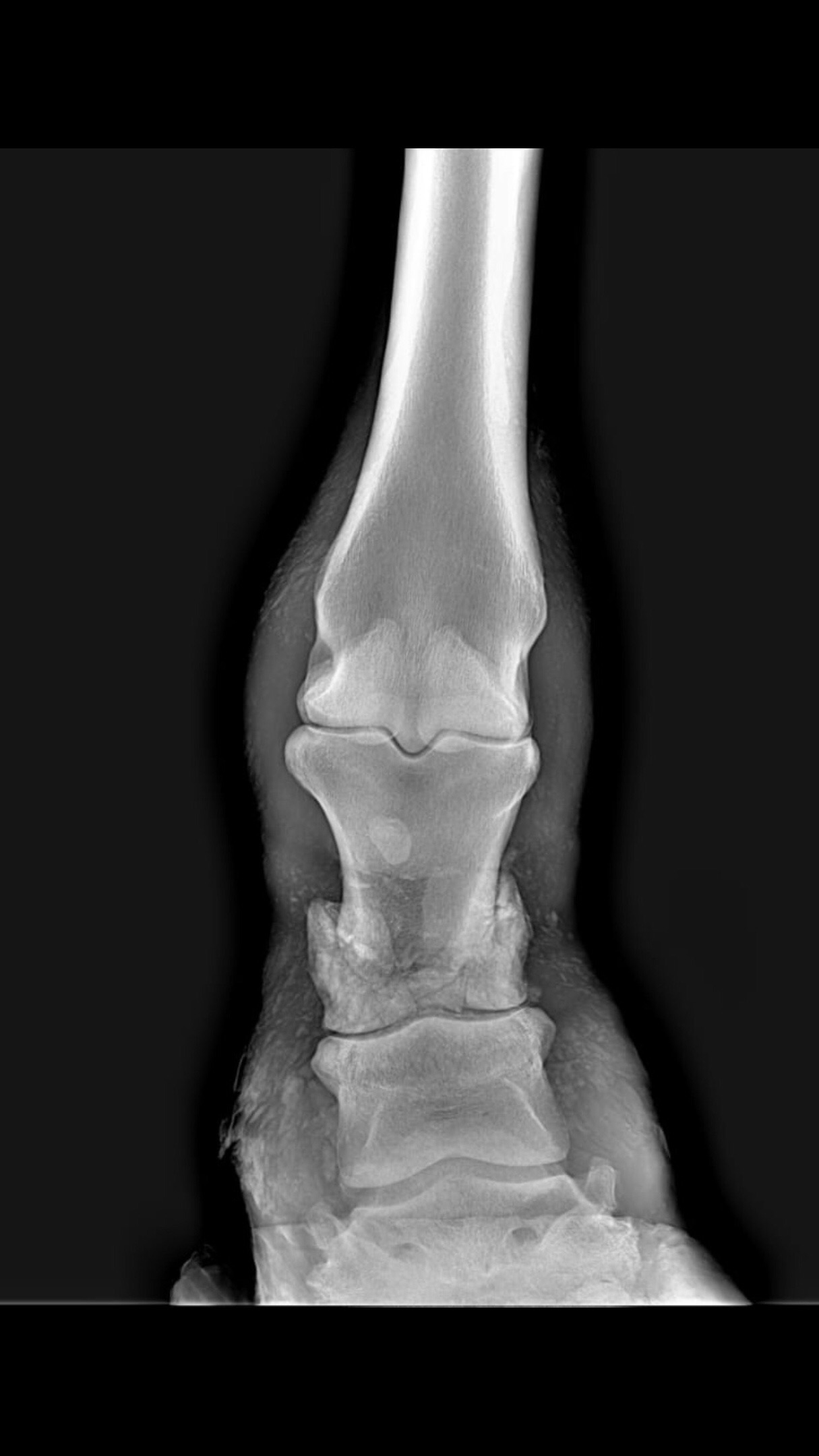
Но там перелом такой...
 
upload_2020-4-25_22-17-45.jpeg

Вот как ему срастаться?
 
Перелом тяжелый но если лошадь бодра и борится то не сдавайтесь, он может сростись но да нога будет работать хуже возможно исчезнит подвижность .Вот про подвесить может и стоило бы хотя она все равно на ней стоять будет так что лучше пусть лежит)А как она так умудрилась?
 
То ди ложилась неудачно,то ди вставала.
Или валялась.Ночью,в деннике.
Она ложится каждую ночь,не билась,не заваливалась.
Перелом компрессионный,вопрос срослось бы блин
 
Вколоченный оскольчатый перелом :eek: Ну тогда она должна была как то вдавить так кость...интересно..
Ну желаю кобыле сил на восстановление.:(
 
Последнее редактирование:
То ди ложилась неудачно,то ди вставала.
Или валялась.Ночью,в деннике.
Она ложится каждую ночь,не билась,не заваливалась.
Перелом компрессионный,вопрос срослось бы блин
А у нее кровь давно брали?просто уж очень странный перелом.У нее с кальцием все нормально?Страшно чтоб у нне хруркость кости не повысилась а то одно будет лечиться второе не дай бог колечиться.
 
Сверху