sedate
Новичок
Покупаю кобылу, 13 лет, фризской породы. Всем устраивает, но результат ветеринарного осмотра таков:
Клинический осмотр:
Уровень ухода и питания – высокая степень упитанности
Кожа и шерсть – ВПН.
Заметные шрамы/дефекты - ВПН
Слизистые оболочки – ВПН.
Подчелюстные лимфатические узлы – ВПН.
Яремные вены – ВПН.
Преддверье ротовой полости – ВПН
Наружные половые органы – ВПН.
Общее поведение – ВПН.
Аускультация легких – 12 раз в мин., экспираторные/инспираторные шумы – отсутствуют,
Аускультация сердца – ВПН, пульс 32.
Офтальмоскопия – ВПН.
Флексия/экстензия спины – затруднена. Болезненность не выражена.
Хромота на шагу по прямой по твердому грунту отсутствует.
Хромота на рыси по прямой по твердому грунту отсутствует.
Хромота при движении рысью по кругу по мягкому грунту отсутствует.
Хромота при движении рысью по кругу по мягкому грунту отсутствует, отмечена незначительная аритмия на правую грудную конечность при движении на право.
Проба на копытные щипцы (-) левая грудная конечность
(-) правая грудная конечность
Тесты на сгибание: правая грудная конечность (-)
левая грудная конечность (-)
левая тазовая конечность (-)
правая тазовая конечность (-)
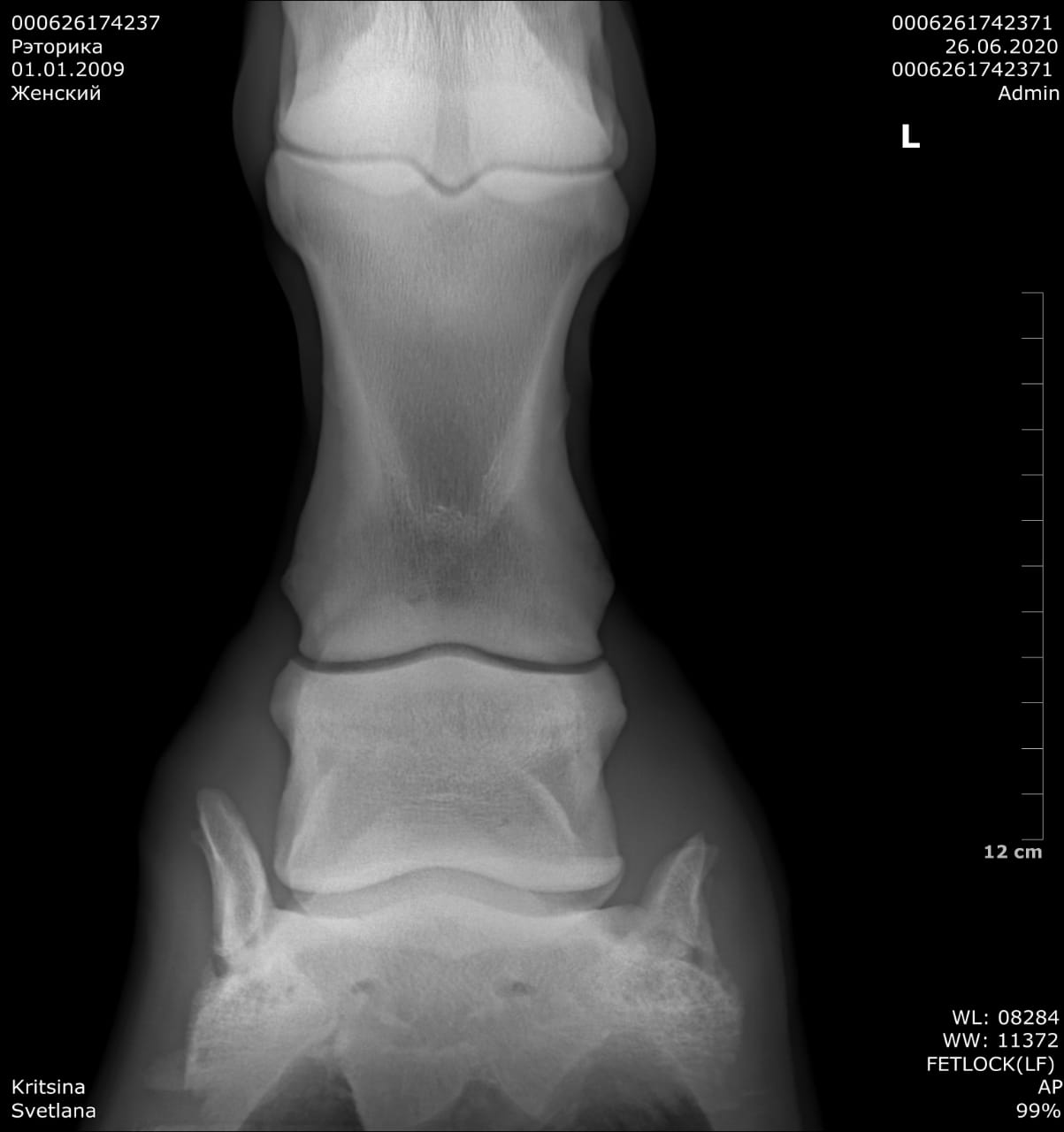
Результаты рентгенологического исследования:
Правая грудная конечность – оссификация латерального хряща копытной кости.
Левая грудная конечность – оссификация латерального хряща копытной кости.
Правая тазовая конечность – костных патологий не выяввлено.
Левая тазовая конечность – костных патологий не выявлено.
Грудной отдел позвоночника – костных патологий не выявлено. Визуализация дальше 7 грудного позвонка затруднена в следствие высокой степени упитанности.
Кто-нибудь сталкивался с оссификацией копытного хряща? Что с этим делать? Сейчас у хозяйки кобыла несет умеренные нагрузки. Кобыла в прошлом малопризная. Покупаю для себя в поля ездить, в манеже кататься.
Клинический осмотр:
Уровень ухода и питания – высокая степень упитанности
Кожа и шерсть – ВПН.
Заметные шрамы/дефекты - ВПН
Слизистые оболочки – ВПН.
Подчелюстные лимфатические узлы – ВПН.
Яремные вены – ВПН.
Преддверье ротовой полости – ВПН
Наружные половые органы – ВПН.
Общее поведение – ВПН.
Аускультация легких – 12 раз в мин., экспираторные/инспираторные шумы – отсутствуют,
Аускультация сердца – ВПН, пульс 32.
Офтальмоскопия – ВПН.
Флексия/экстензия спины – затруднена. Болезненность не выражена.
Хромота на шагу по прямой по твердому грунту отсутствует.
Хромота на рыси по прямой по твердому грунту отсутствует.
Хромота при движении рысью по кругу по мягкому грунту отсутствует.
Хромота при движении рысью по кругу по мягкому грунту отсутствует, отмечена незначительная аритмия на правую грудную конечность при движении на право.
Проба на копытные щипцы (-) левая грудная конечность
(-) правая грудная конечность
Тесты на сгибание: правая грудная конечность (-)
левая грудная конечность (-)
левая тазовая конечность (-)
правая тазовая конечность (-)
Результаты рентгенологического исследования:
Правая грудная конечность – оссификация латерального хряща копытной кости.
Левая грудная конечность – оссификация латерального хряща копытной кости.
Правая тазовая конечность – костных патологий не выяввлено.
Левая тазовая конечность – костных патологий не выявлено.
Грудной отдел позвоночника – костных патологий не выявлено. Визуализация дальше 7 грудного позвонка затруднена в следствие высокой степени упитанности.
Кто-нибудь сталкивался с оссификацией копытного хряща? Что с этим делать? Сейчас у хозяйки кобыла несет умеренные нагрузки. Кобыла в прошлом малопризная. Покупаю для себя в поля ездить, в манеже кататься.

