Я писала в дневнике у Теры.
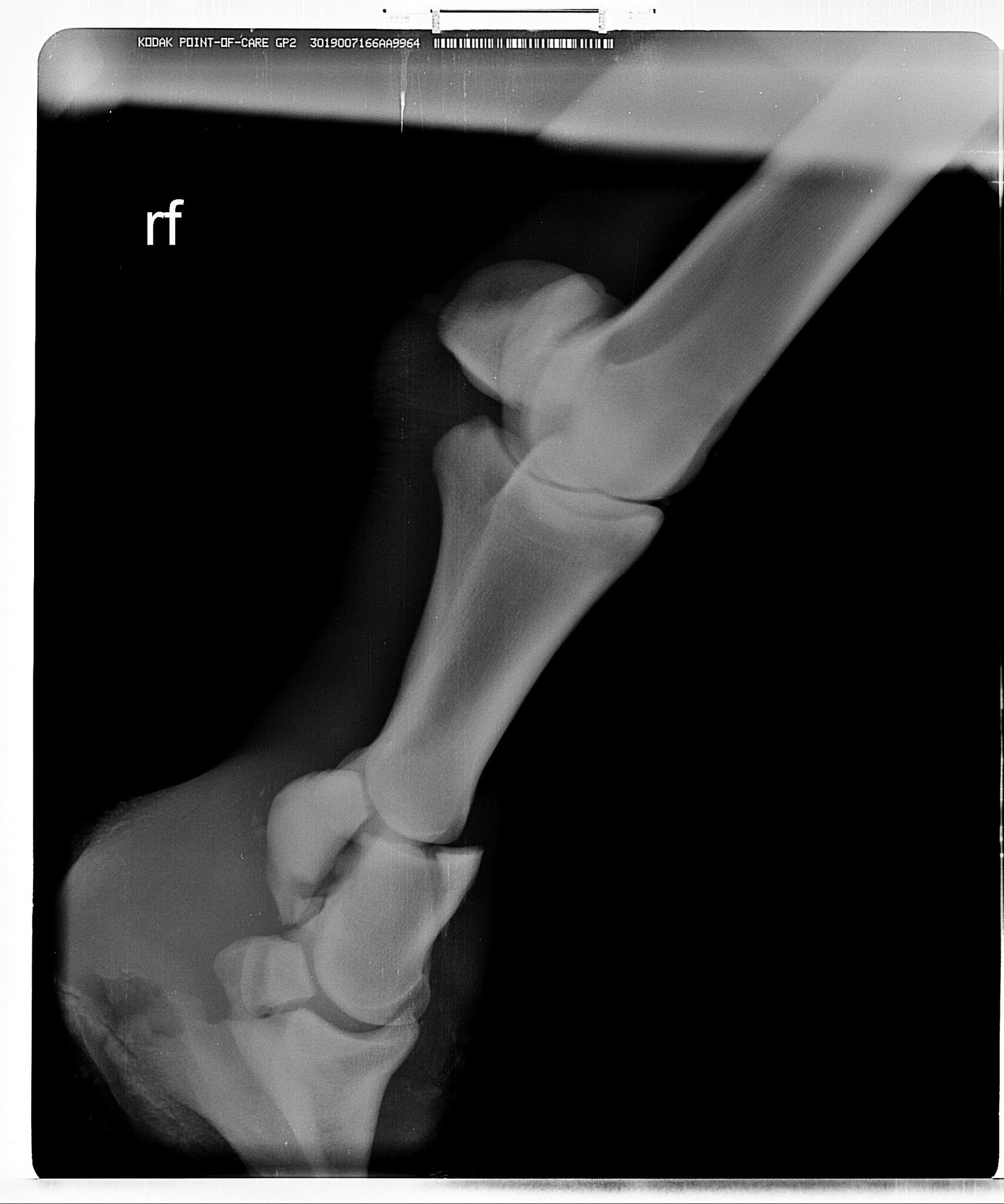
Жеребец. Винтовой перелом путовой кости на ЛЗ почти по всей её длине, внизу перелома смещение 5 отломков.
Отрада отказалась, практически все веты, кому звонили - как видели рентгены и слышали описание, рекомендовали усыпить.
Брался НВ - остеосинтез на пластины и штифты. перегипсовка каждые определенные периоды. Наложение гипса при таких переломах отличается на передней ноге получен перелом или задней. На задней сложнее. Нужен наркоз каждый раз.
Лошадь - ХОБЛ в сильной степени, еще в прошлом - что-то вроде инсульта (тепловой удар, на 4 дня ослеп, вытянули массой лекарств). вопросы по сердцу.
Коневоз уже готов был выезжать, но с учетом его анамнеза побоялись, что операцию он не переживет. и доедет ли вообще.
Еще один ветеринар (спасибо ему!) сказал, что можно побороться. Приехал, наложили гипс с учетом особенностей такого процесса на заднюю ногу.
НВ давал прогноз осторожный. абсолютно все, даже при условии того, что конь не загнется от ХОБЛ, что не схватит ламинит и т.д. предупреждали о газонокосилке в итоге.
Стоял с гипсом 2,5 месяца, постоянные рентгены, жрал кучу всего. Гипс он как-то так продавил пяткой или что еще сделал, но получился, как костыль, на который он мог опираться и как-то даже перемещался по деннику. Сразу научился ложиться, вытягивая ногу и также вставать. Он сразу хотел жить и делал всё от него зависящее. Вот в этот период у него было отличное дыхание, что вообще никто не может объяснить.
Делающие рентгены ветеринары (Отрада, Эквимедика) говорили, что его случай противоречит медицинской практике и опыту. И что это магия

и что ни в коем случае никаких перегипсовок, пока вот этот гипс вопреки всему работает. не нужно трогать.
Изучала много материалов. Подвес меняет совсем всю систему ухода за лошадью, с ним у лошади меньше шансов выжить.
Хозяйка конюшни с ним возилась каждый день.
И она была готова, и мы предупреждены, что если что-то пойдет не так - конь уйдет.
Но мы все очень верили.
Реабилитация заняла год. Период начала и середины шаговки был увлекательный

Хозяйка конюшни только могла с этим справиться )))
На месте сращения отломков образовалась шишка, предупредили, что это жабка (вроде так) и она может расти дальше.
я как вспомню тот период, так плохо сразу от ужаса. От метаний, надежд, разговор, непонимания, что делать, от решений и т.д.
Лошадка имеет свои особенности сейчас по поддержке артроза. Но не ужас-ужас. Как обычный хроник по ногам. Хобл доставляет гораздо больше хлопот. Живет полноценной жизнью. Играет, пинается, порой при его хорошем настроении может показать всаднику в поле, что 15/16 крови чк это не хухры-мухры

Он просто офигенный по мозгу, темпераменту и характеру.
Чудеса бывают. Но где та грань, отделяющая веру в чудо от жестокости, я не могу сказать и сейчас.