redlittleboy57
Новичок
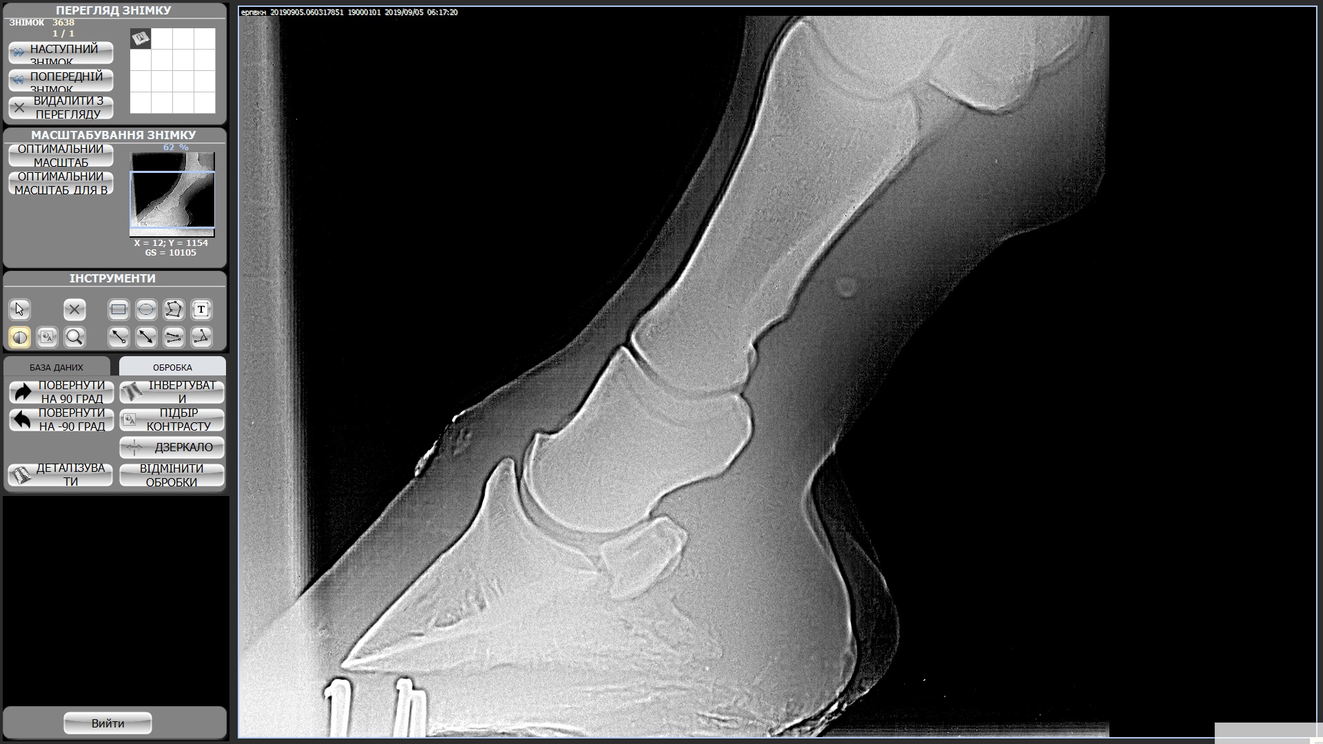
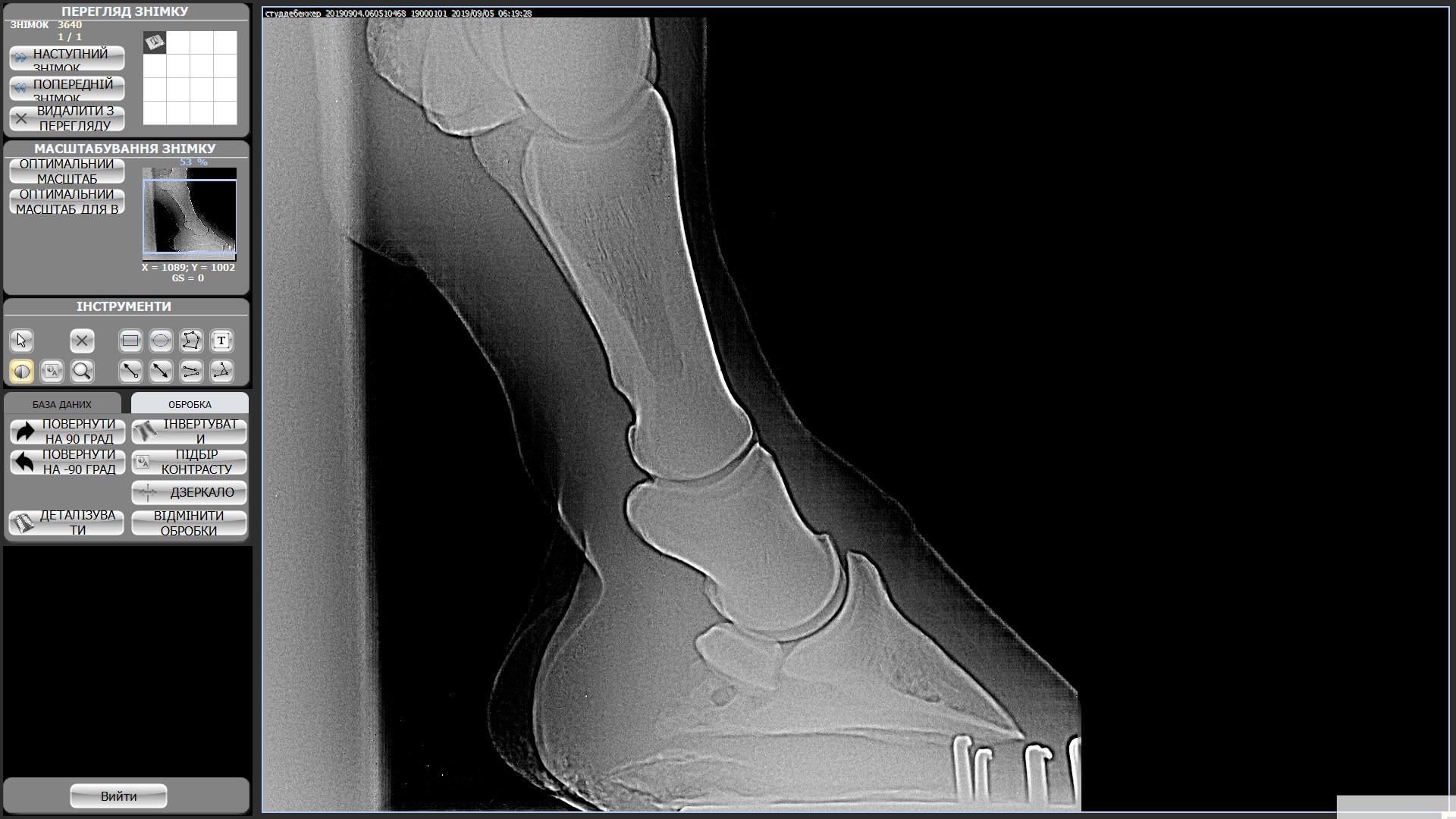
Мерин 7 лет, купили в этом году, смотрели с ветом и делали рентгены ног, прикрепила к теме. Были микротравмы суставов из за чего появляются наливы (мягкие шишки) на суставах всех 4х ног. Приглашала другого вета сказал менять постав подковами ортопедическими, так и сделали после чего конь захромал на правый перед и оба зада, проходили так неделю и сняли подковы - хромота ушла, но копытные остались налитыми, как и шишки не сошли. Вроде бы все было хорошо на протяжении 2х недель, наливы не сошли, но конь на них не жалуется. И вот на днях ходили в поля (только шагом), пару раз нас напугала то машина, то веточка и он подрывался немного. На следующее утро хромает на все 4, щупали мышцы и смотрели наливы изменений нет но конь хромает на все 4 и немного теплые копытные((((
Конь если не хромает все время в работе, один день в неделю он просто гуляет, в остальные работа на корде, в шлее или верхом
Сталкивался ли кто с такими наливами? Или может у кого были такие же проблемы с хромотой? Как вы их решали?
Огромное спасибо за советы
Пы Сы вета ждем на след неделе и укололи коню противовоспалительное, так как стали греться копытные
Конь если не хромает все время в работе, один день в неделю он просто гуляет, в остальные работа на корде, в шлее или верхом
Сталкивался ли кто с такими наливами? Или может у кого были такие же проблемы с хромотой? Как вы их решали?
Огромное спасибо за советы
Пы Сы вета ждем на след неделе и укололи коню противовоспалительное, так как стали греться копытные
Вложения
-
Студдебекер 3 ЗЛ.jpg494 KB · Просмотры: 366 -
студебеккер 2 ЗП.jpg404.4 KB · Просмотры: 370 -
СтудебеккерПЛ.jpg489.8 KB · Просмотры: 327 -
Студебеккер ПП.jpg528.2 KB · Просмотры: 411 -
70C23392-C6D1-4753-82BE-1BA78E4C4982.jpeg948.4 KB · Просмотры: 447 -
1FCC8B7D-4A4A-4DE9-975C-DA1687658032.jpeg886.1 KB · Просмотры: 442 -
F5323A12-AB9E-4936-B10A-18BD8270BB18.jpeg879.2 KB · Просмотры: 424 -
6C6B6AE9-4B3E-447A-B9B5-3AFA55F34E17.jpeg147.4 KB · Просмотры: 419

