Как выглядит перелом?

Если есть возможность, то стоит звать любого другого вета с аппаратурой, который доедет до вас оперативнее.

Просто сохраните снимки и проконсультируйтесь по ним с кем хотите.

УЗИ можно телефоном с экрана аппарата снимать (если будут делать).
 
Отек практически любого происхождения нельзя греть первые дней 5. Когда к вам врач доедет?
Хм. Я слышала про 2 дня - холод, дальше можно греть, растирать, ватники.
Этот врач , когда убедился, что нет перелома, начал тянуть с приездом, я буду кого то искать , кто побыстрее приедет.
что у вас не травма
К сожалению, у нас травма. За пару дней до этого коню поменяли соседей в леваде рядом. Я предполагаю, что по нему отбила кобыла из соседней левады. Она довольна агрессивная. Либо она проявила агрессию, а мой отбил по леваде. Он раньше был в таком замечен с другим соседом.
 
УЗИ можно телефоном с экрана аппарата снимать
Вет не хочет приезжать сейчас, потому что кроме рентгена он ничего не сделает, пока большой отек есть. Но я хочу все таки кого то другого звать, мне так будет спокойнее.
 
Я может не совсем правильно выразилась. Не травма - имела ввиду то, что перелома скорее всего нет, КМК. Ну и врач вам так сообщил. Конечно, если есть ранка, то какое-то механическое повреждение было. Оттуда и идет слоновость как ответ лимфатической системы.
Напишите, если не затруднит, что у вас в итоге по диагнозу будет.
 
Этот врач , когда убедился, что нет перелома, начал тянуть с приездом, я буду кого то искать , кто побыстрее приедет.
Без рентгена он все таки не мог убедиться в этом. Чаще сталкивалась что врачи не будут ничего исключать без результатов узи/ренгена.
 
Коню нужен только рентген
Если нет перелома, то рентген больше ничего не покажет. Связки/ сухожилия это ж только по узи можно определить. Вета нашла другого на завтра, с рентгеном и узи.
Напишите, если не затруднит, что у вас в итоге по диагноз
Напишите, если не затруднит, что у вас в итоге по диагнозу будет.
Да, конечно, напишу. Завтра вет врач должен приехать.
 
Связки/ сухожилия это ж только по узи можно определить.
Это кто вам сказал? Если, конечно, рентгену сто лет, то наверное, а на современных машинах видны все прожилки, рельеф, сухожилия и связки как на картинке
 
1705397825269.png
1705398019671.png
 
Это кто вам сказал? Если, конечно, рентгену сто лет, то наверное, а на современных машинах видны все прожилки, рельеф, сухожилия и связки как на картинке

Врач, умеющий читать снимки всё увидит.
Вы какие-то очень странные вещи пишете. У нас последние 2 года были пляски с накостником и сухожилиями. И НИКТО из хороших московских ортопедов не смотрел связки- сухожилия по рентгену. Все как-то УЗИ ещё хотят.
 
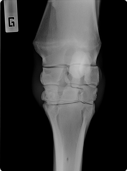
Вот картинка для иллюстрации. Здесь должно быть виднее. (надеюсь, владелец снимка не против будет, есличе уберу)

Рентген 4.png


Оба сгибателя и межкостник хорошо видны.

Врач, если он хороший диагност, способен проблему с сухожилиями определить ручками при осмотре. По крайней мере, начальную диагностику. И только потом уже рентген/УЗИ места, определенного при начальном осмотре. А не снимаем/узим все подряд.
 
Ну понятное дело, что не все подряд, но все равно хорошо бы у врача было и то, и другое - и рентген, и узи. Все-таки да, сухожилия - это лучше узи
 
Ну, по качественному рентгену, по крайней мере, будет понятно, надо ли смотреть сухожилия подробно на УЗИ или нет.

Обычно у тех, кто занимается диагностикой ОДА, есть и то и другое. Только не все врачи хорошо читают снимки, даже свои собственные...
 
Не переживайте, грифель - это рудимент, его перелом для лошади не несёт глобальных последствия, особенно если перелом простой. Если лошадь активная, импульсивная, то хорошо бы перевести полностью на сено с небольшим количеством концентратов ( совсем чуть-чуть, если лошадь нервничает во время раздачи еды) и начать давать успокоительную добавку.
 
Сверху