Применение тилдрена и его аналогов

Тоже прокололи 3 ампулы Ибанпролла (по инструкциии, не за раз) с физраствором и лидокаином.
Врач перестраховалась сразу вколола флюниджект.
Лошадь была и осталась бодра и весела. стул обычный состояние обычное, но и конь не неженка, боевой.
 
Тоже прокололи 3 ампулы Ибанпролла (по инструкциии, не за раз) с физраствором и лидокаином.
Врач перестраховалась сразу вколола флюниджект.
Лошадь была и осталась бодра и весела. стул обычный состояние обычное, но и конь не неженка, боевой.

Как результат?
 
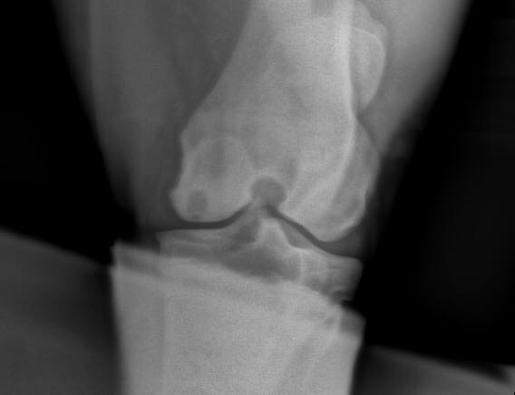
Конь 15 лет, почти год как после перелома. У прошлого хозяина кололи Бонефос в мышцу, схему и дозировку не знаю.В мае рентген показал, что сращение кости удовлетворительное, но "могло быть и лучше". Я Бонефоса не нашла, купила Золедрон. Разводила на литр физраствора, капала больше часа, предварительно вколов флуниджект с ношпой. Конь после процедуры был бодр и свеж, а результаты покажут следующие рентгены.
 
Приветствую всех! Хочется услышать мнения людей, которые пробовали лечить костные кисты путем введения препаратов типа Тилдер/Ибанпролл и другие. Помогло ли вам лечение и какие нагрузки несет ваша лошадь на данный момент?

В нашем случае обнаружилась киста в коленом суставе. Конь резко захромал и потом его так же резко "отпускало". Так же и сейчас, то хромает, то не хромает. Хотя носится в леваде как сумасшедший. Сустав не опухший внешне изменений не видно. Почти все рекомендуют лошадь продавать, так как лечение препаратами якобы результата не даст и нужна артроскопия. Я бы ее и сделала, но в нашем регионе это невозможно. Везти в Москву + операция выйдет под 300 тысяч. Не целесообразно совершенно.

Так вот вопрос, помогут ли курсы Ибанпролла+кальций+возможно суставные инъекции в лечении данной проблемы? Такое лечение позволить себе могу и делать его каждые 4-5-6 месяцев при необходимости. Вопрос в том, поможет ли и какие нагрузки сможет нести лошадь?
К слову, коню сейчас 2 года.

Может, кому помогло? Несете выездковые нагрузки? Или, может, даже кто-то прыгает? Расскажите, в любом случае хочу услышать разные мнения.
 

Вложения

  • farzGY8H7UQ.jpg
    farzGY8H7UQ.jpg
    18.6 KB · Просмотры: 300
Приветствую всех! Хочется услышать мнения людей, которые пробовали лечить костные кисты путем введения препаратов типа Тилдер/Ибанпролл и другие. Помогло ли вам лечение и какие нагрузки несет ваша лошадь на данный момент?

В нашем случае обнаружилась киста в коленом суставе. Конь резко захромал и потом его так же резко "отпускало". Так же и сейчас, то хромает, то не хромает. Хотя носится в леваде как сумасшедший. Сустав не опухший внешне изменений не видно. Почти все рекомендуют лошадь продавать, так как лечение препаратами якобы результата не даст и нужна артроскопия. Я бы ее и сделала, но в нашем регионе это невозможно. Везти в Москву + операция выйдет под 300 тысяч. Не целесообразно совершенно.

Так вот вопрос, помогут ли курсы Ибанпролла+кальций+возможно суставные инъекции в лечении данной проблемы? Такое лечение позволить себе могу и делать его каждые 4-5-6 месяцев при необходимости. Вопрос в том, поможет ли и какие нагрузки сможет нести лошадь?
К слову, коню сейчас 2 года.

Может, кому помогло? Несете выездковые нагрузки? Или, может, даже кто-то прыгает? Расскажите, в любом случае хочу услышать разные мнения.
Здравствуйте. У моей лошади костные кисты в венечных костях в обоих задних ногах + сесамоидит на ЛЗ.
Проблема проявилась в том же возрасте, что и у вас, в 2 года.
С 3-х лет принимаем бифосфонаты. Начинали с Тилдрена, потом ушли на Бонефос, через пару лет, возможно, попробуем Ибанпролл или Золедрон.
Лошадь чувствует себя нормально, работаем без ограничений, выездючим (уровень скатанного МП, элементы БП, на семинары к иностранному тренеру ездили), в речку ходим, по полям скачем, прыгаем чуть-чуть иногда ради прикола.
В таком режиме живем уже 10 лет. Полет нормальный. 5 пачек Бонефоса в год, кальций постоянно все время. Ну хондропротекторы тоже обязательно.
 
Здравствуйте. У моей лошади костные кисты в венечных костях в обоих задних ногах + сесамоидит на ЛЗ.
Проблема проявилась в том же возрасте, что и у вас, в 2 года.

Здравствуйте! Вашего ответа ждала особенно! Читала ваш дневник, ваш опыт и видела ваши снимки. Что интересно, что у меня русский верховой ахалтекинских кровей)
Очень обнадежили и придали уверенности, спасибо! Несмотря на то, что все говорят коня продавать, мне все же очень хочется за него побороться.
В августе начнём кальций б12 + Ибанпролл. Сделаю пару курсов, потом снимки, чтобы отследить динамику.
Если вам будет интересно, отпишусь потом, расскажу как нам зашёл Ибанпролл. Для нас это единственный вариант, потому что можно применять с 2-х лет. Ну и курс всего из 3х флаконов, конечно, тоже радует.
Спасибо вам ещё раз за ответ!
 
Здравствуйте! Вашего ответа ждала особенно! Читала ваш дневник, ваш опыт и видела ваши снимки. Что интересно, что у меня русский верховой ахалтекинских кровей)
Очень обнадежили и придали уверенности, спасибо! Несмотря на то, что все говорят коня продавать, мне все же очень хочется за него побороться.
Рада помочь коллегам по несчастью))
А продать такую лошадь еще труднее, чем лечить. Пожизненно "развлекаться" с дорогостоящими препаратами нафиг никому не нужно.

В августе начнём кальций б12 + Ибанпролл. Сделаю пару курсов, потом снимки, чтобы отследить динамику.
Если вам будет интересно, отпишусь потом, расскажу как нам зашёл Ибанпролл. Для нас это единственный вариант, потому что можно применять с 2-х лет. Ну и курс всего из 3х флаконов, конечно, тоже радует.
Спасибо вам ещё раз за ответ!
Вы только прям очень сильно не увлекайтесь Ибанпроллом. Помните, что у вас конь еще молодой и активно растет, а Ибанпролл гораздо забористее Тилдрена с Бонефосом, насколько сильно повлияет на процесс роста -- неизвестно! На упаковке то можно написать все что угодно, хоть с 2х лет можно, хоть с года (это больше похоже на коммерческий ход), а на практике опыт применения этих препаратов на молодых лошадях вряд ли у кого есть настолько обширный, чтоб однозначно говорить о безопасности... Даже у людей опыт применения у детей отсутствует...
Я бы на вашем месте начала с бифосфонатов первого поколения, а когда конь вырастет, тогда уже применяла бы 3-е поколение. Сейчас важно соблюсти баланс в лечении: с одной стороны не дать кисте увеличиваться, а с другой не мешать коню расти.
В любом случае, проконсультируйтесь с врачом по подбору препаратов.
 
Вы только прям очень сильно не увлекайтесь Ибанпроллом. Помните, что у вас конь еще молодой и активно растет, а Ибанпролл гораздо забористее Тилдрена с Бонефосом, насколько сильно повлияет на процесс роста -- неизвестно! На упаковке то можно написать все что угодно, хоть с 2х лет можно, хоть с года (это больше похоже на коммерческий ход), а на практике опыт применения этих препаратов на молодых лошадях вряд ли у кого есть настолько обширный, чтоб однозначно говорить о безопасности... Даже у людей опыт применения у детей отсутствует...
Да, по поводу роста тоже думала о понимаю, что скорее всего такие препараты повлияют на рост лошади, скорее затормозят его. В планах пока максимум пара курсов, а там, как пойдет. Врач Ибанпролл одобрил. Инфузии тоже будем делать максимально медленные и брать бОльший объем физраствора, чем заявлено в рекоммендации (1 флакон на 250мл). Посмотрим, как пойдет, как конь будет реагировать. В любом случае, общее его здоровье в бОльшем приоритете, чем рост.

Продавать его предлагают махровым любителям, для покатушек в лес. Но я не представляю, как молодой и не заезженный жеребец может быть интересен такому покупателю. Скорее всего, лошадь будет испорчена и пойдет по рукам. Это в лучшем случае. Поэтому, было принято решение друга не бросать и пытаться лечить.

А можете сказать,какие хондропротекторы вы используете? Что оказалось эффективным лично для вас?
 
После курса в/в уколов или капельницы с указанными препаратами, в частности, интересует золедрон, как скоро можно ожидать улучшений? Когда перестанет хромать? Через неделю, месяц или как?
 
Похоже наступила какая-то аховая ситуация с бифосфонатами. Бонефоса уже давно нет в РФ. Весной еще успели собрать остатки Золедрона , пачку в СПБ, пачку в МСК.

Сейчас нет ни Золедрона, ни Ибанпролла. Только Тилдрен, но его мы не хотим.
Проколоть надо уже вчера, как говорится :(
Может у кого есть в личных запасах препараты? или подскажете где взять
 
На сайте Арфлекса тоже нет? Вроде только они официальные поставщики, у которых остальные берут
Нет у них ни золедрона сейчас, ни ибанпролла, сегодня общалась

Осфос даже Ольга Зибрева искала.

в ХорсАптеке оформила заказ, жду
 
Блин, плохо(( Может из-за карантина и закрытых границ пепебои в поставках? Надеюсь, со временем все наладится.
 
Про кальций вместе с бифосфонатами хотелось бы понять. Кормить или колоть? Обязательно или посмотреть биохимию?
 
Про кальций вместе с бифосфонатами хотелось бы понять. Кормить или колоть? Обязательно или посмотреть биохимию?
Насколько я знаю , без разницы, в какой форме давать
Но нужно обязательно
 
Сверху